Caur galvaskausu izoperēts audzējs acs dobumā aiz acs ābola

Attēlam ir ilustratīva nozīme. © Foto: freepik.com

Paula Stradiņa Klīniskās universitātes slimnīcas (Stradiņa slimnīca) Neiroķirurģijas klīnikā 2026.gada 7.janvārī veikta unikāla un ārkārtīgi reta operācija pacientam ar neparastu patoloģiju – blīvu, kalcinētu veidojumu acs dobumā aiz acs ābola.

Jau trešajā dienā pēc operācijas pacients devās uz mājām.
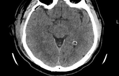
Pacients ilgstoši sūdzējās par redzes dubultošanos, spiediena sajūtu labajā acī un acs ābola kustību traucējumiem, bet neskatoties uz simptomiem, redze bija saglabāta.
Padziļināti izmeklējumi atklāja ļoti retu, kalcinētu veidojumu, kas saspieda acs muskuļus un nervus, izraisot neiroloģiskos simptomus.
Pacients ilgstoši sūdzējās par redzes dubultošanos, spiediena sajūtu un acs kustību traucējumiem. Padziļināti izmeklējumi atklāja neparastu veidojumu, kas saspieda acs muskuļus un nervus, izraisot neiroloģiskus simptomus, taču redze bija saglabāta.
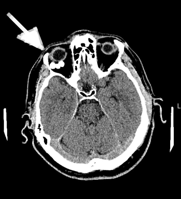
Operācijas laikā neiroķirurģijas komanda veica augstas precizitātes ķirurģisku iejaukšanos - caur galvaskausu tika izveidota aptuveni 1 cm liela atvere acs dobuma sienā, ļaujot pilnībā izņemt patoloģisko veidojumu, nebojājot acs struktūras.
Rezultāts: pēc operācijas pacientam pilnībā izzuda sūdzības, saglabājot redzi un acs kustīgumu.

Pirms operācijas / Foto: publicitātes

Pēc operācijas / Foto: publicitātes
Neiroķirurģijas klīnikas vadītājs dr. Egils Valeinis: “Šis ir ārkārtīgi rets un klīniski unikāls gadījums. Šādu operāciju veikšana ir iespējama, pateicoties augsta līmeņa tehnoloģijām un nepārtrauktai speciālistu profesionālajai pilnveidei.”
Neiroķirurģe Jūlija Dolgopolova papildina: “Šādos gadījumos ķirurgam ir liela profesionālā un cilvēciskā atbildība. Prieks redzēt, ka rezultāts attaisnoja gan pacienta, gan komandas cerības.”
Operāciju veica Neiroķirurģijas klīnikas komanda: ārste neiroķirurģe Jūlija Dolgopolova, ārsts rezidents Kristaps Rancāns, operāciju māsas Elīna Strogonova un Tatjana Pudāne, māsas palīgs Daniils Važņins, anestezioloģe Tamāra Zītare un vispārējās aprūpes māsa anestēzijā un intensīvajā aprūpē Sanita Balode.
Stradiņa slimnīcas Neiroķirurģijas klīnika turpina risināt sarežģītus un retus klīniskus gadījumus, mērķtiecīgi attīstot ķirurģiskās metodes, tehnoloģisko nodrošinājumu un speciālistu kompetenci.

Foto: publicitātes